Zur Startseite wechseln
Mein Konto
Anmelden
oder registrieren
Meine Buchungen Übersicht Persönliches Profil Adressen
live-vetinare
flexi-vetinare
Abo Anästhesie Andrologie Augenheilkunde Bildgebende Diagnostik Chirurgie Dermatologie Endokrinologie Ernährung Gynäkologie Gutscheine Hals-Nasen-Ohrenheilkunde Heimtiere Infektiologie Innere Medizin Kardiologie Labordiagnostik Neurologie Notfall- und Intensivmedizin Onkologie Orthopädie Pferde Physiotherapie Praxisgründung Praxismanagement Praxisnachfolge Rechtliches Reptilien Soft skills Strahlenschutz für TPA (CH) Tiermedizinische Fachangestellte Tierzahnheilkunde Traumatologie Zoo- und Wildtierkunde Verhaltenstherapie Vögel Zierfische Zytologie
Abo Anästhesie Andrologie Augenheilkunde Bildgebende Diagnostik Chirurgie Dermatologie Endokrinologie Ernährung Gynäkologie Gutscheine Hals-Nasen-Ohrenheilkunde Heimtiere Infektiologie Innere Medizin Kardiologie Labordiagnostik Neurologie Notfall- und Intensivmedizin Onkologie Orthopädie Pferde Physiotherapie Praxisgründung Praxismanagement Praxisnachfolge Rechtliches Reptilien Soft skills Strahlenschutz für TPA (CH) Tiermedizinische Fachangestellte Tierzahnheilkunde Traumatologie Zoo- und Wildtierkunde Verhaltenstherapie Vögel Zierfische Zytologie
FAQ
Kontakt
Über uns
Zeige alle Kategorien flexi Zurück
  • flexi anzeigen
  • Abo
  • Anästhesie
  • Andrologie
  • Augenheilkunde
  • Bildgebende Diagnostik
  • Chirurgie
  • Dermatologie
  • Endokrinologie
  • Ernährung
  • Gynäkologie
  • Gutscheine
  • Hals-Nasen-Ohrenheilkunde
  • Heimtiere
  • Infektiologie
  • Innere Medizin
  • Kardiologie
  • Labordiagnostik
  • Neurologie
  • Notfall- und Intensivmedizin
  • Onkologie
  • Orthopädie
  • Pferde
  • Physiotherapie
  • Praxisgründung
  • Praxismanagement
  • Praxisnachfolge
  • Rechtliches
  • Reptilien
  • Soft skills
  • Strahlenschutz für TPA (CH)
  • Tiermedizinische Fachangestellte
  • Tierzahnheilkunde
  • Traumatologie
  • Zoo- und Wildtierkunde
  • Verhaltenstherapie
  • Vögel
  • Zierfische
  • Zytologie
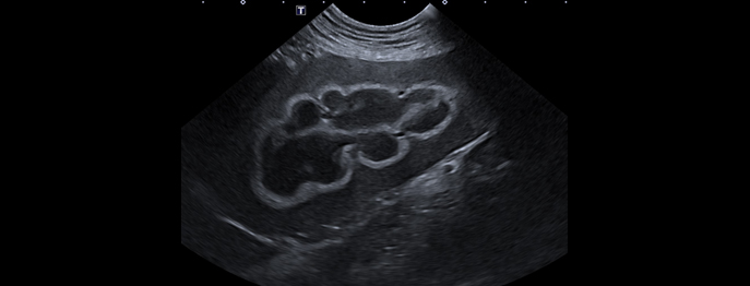
https://www.vetinare.de/media/e4/77/g0/1770035601/POCUS Abdomen.jpg
  1. live

25.03.2026 | 19:00 bis 20:30 Uhr

Point-of-Care Ultrasound (POCUS) 1: Abdomen

bei Notfall- und Intensivpatienten

Point-of-Care Ultraschall (POCUS) gewinnt in der Kleintiermedizin zunehmend an Bedeutung und stellt ein wichtiges Hilfsmittel in der Diagnostik und Therapieentscheidung bei Notfall- und Intensivpatienten dar. 

In diesem vetinar lernen Sie die wichtigsten Indikationen, Vorteile, aber auch die Limitationen des POCUS kennen. Anhand von strukturiertem Bild- und Videomaterial werden die erforderlichen Untersuchungstechniken und Handgriffe Schritt für Schritt vermittelt, sodass Sie das Erlernte direkt in der eigenen Praxis umsetzen können.

Das vetinar ist in zwei Teile gegliedert:
 • POCUS Abdomen
 • POCUS Thorax

Im ersten Teil werden die Grundlagen des POCUS sowie Einsatzmöglichkeiten des abdominalen POCUS behandelt.

Besuchen Sie auch das folgende vetinar:
POCUS - Thorax 

Referent(in)

Dr. Julia Ortlieb:
Resident für Emergency and Critical Care
(ECVECC – European College of Veterinary Emergency and Critical Care)
Klinik für Kleintiere – Innere Medizin
JLU Giessen

Kein Termin passt?

Bei flexi-Modulen entscheiden ganz allein Sie, wann und wie lange Sie lernen möchten.

Gutscheine

Sie suchen noch ein sinnvolles Geschenk für Ihre Mitarbeiter oder Kollegen?

Jahresabo

vetinare jetzt auch im praktischen Jahres-Abo!

petinare

Sind Sie Tierhalter oder Züchter? Dann finden Sie hier unser Angebot.

Newsletter

Immer als Erster über neue Webinarthemen informiert werden.



Nutzungsvoraussetzungen
FAQ
Datenschutz
AGB
Impressum
Karriere
Kontakt
Mit freundlicher Unterstützung von:
wdt.de
bbraun-vetcare.de
vetkom.de
vetrad.de
vetstage.de
vets-online.de
1stdayskillsacademy.com
just4vets.online
Diese Website verwendet Cookies, um eine bestmögliche Erfahrung bieten zu können. Mehr Informationen ...